![]()
|
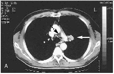
| Scanbeeld van longkanker, gezien vanaf het hoofd richting de voeten (middelste illustratie). De witte pijl geeft de tumor aan. De zwarte gestippelde pijl een nabijgelegen lymfeklier. Aan de lymfeklier is niets opvallends te zien. Een opname met de PET-scan vanuit dezelfde richting levert echter een heel ander resultaat op (onderste illustratie). Bij de witte pijl is de tumor zichtbaar. Links daarvan, bij de zwart gestippelde pijl, dezelfde lymfeklier. Het feit dat deze donker verkleurd is, wijst op de aanwezigheid van uitgezaaide tumorcellen in de lymfeklier.
Scanbeelden J. W. G. van Putten |